
【亞太新聞網/記者孔亮云/台中報導】
45歲的魏女士因為近半年來出現下腹部悶痛,所以到仁愛長庚合作聯盟醫院(大里仁愛醫院)婦產科林玉珊醫師門診求診,檢查後發現有下腹部悶痛合併壓迫症狀,竟然有7公分的肌瘤。經採用達文西機械手臂系統結合經陰道自然孔手術,於術後一週後即返家休養。由於手術並未在腹部留下傷口,讓魏女士感到非常驚訝,林玉珊醫師表示,傷口只是藏在看不到的地方,這不只是手術傷口變小,更代表病人能更快回到自己的生活與角色中。

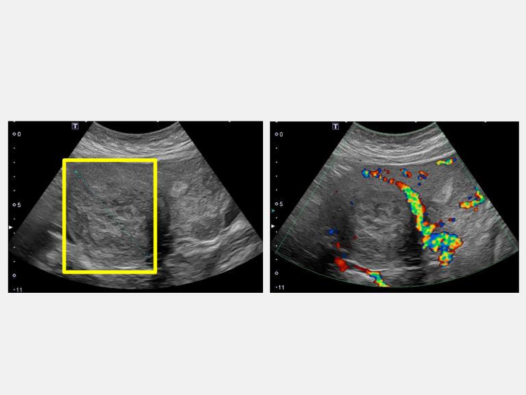
▲超音波顯示病人下腹部悶痛合併壓迫症狀,有7公分肌瘤(左圖方框處)。(圖╱仁愛長庚醫院提供)
林玉珊醫師指出,傳統腹腔鏡手術雖屬微創方式,但仍需在腹部開設多個小切口。經陰道自然孔手術是利用陰道作為自然通道進入骨盆腔,完全免除腹部傷口。第四代達文西機械手臂系統的高解析3D影像讓骨盆腔結構更清楚,機械手臂能在極狹小的空間中完成精細的分離與縫合。病人出血量少、疼痛感輕微,大多數人隔天即可下床,恢復速度比傳統手術明顯更快。

▲第四代達文西機械手臂系統讓醫師能以坐姿操作控制台,透過細微手指動作即可精準帶動機械手臂。在手術過程中鏡頭穩定、視野清晰,醫師不再需要長時間維持高強度姿勢,能把專注力放在每個細節上。(圖╱仁愛長庚醫院提供)
林玉珊醫師說,經陰道自然孔手術雖創傷小,但傳統操作對醫師姿勢與體力要求高。第四代達文西機械手臂系統讓醫師能以坐姿操作控制台,透過細微手指動作即可精準帶動機械手臂。在手術過程中鏡頭穩定、視野清晰,醫師不再需要長時間維持高強度姿勢,能把專注力放在每個細節上,這讓手術更安全,也更優雅。
林玉珊醫師表示,她與院內婦癌及婦女泌尿科醫師密切合作,依據不同病症選擇最適合的手術方式。第四代達文西機械手臂系統讓醫師能在同一系統下執行多種婦科手術,從良性腫瘤切除到婦癌手術、婦女泌尿手術,都能更精確、出血更少,這對病人與醫師都是雙贏。而經陰道自然孔手術主要適用於子宮全切除、特定位置的激流切除及卵巢相關手術,可在沒有腹部傷口的情況下完成治療。
林玉珊醫師強調,仁愛長庚合作聯盟醫院(大里仁愛醫院)婦產科擁有具達文西手術專長的團隊,涵蓋婦科腫瘤、泌尿婦科與微創手術等領域,結合長庚體系的專業支援與第四代達文西系統,持續推動中部地區婦女微創照護的升級,也希望讓婦科手術不只是治療疾病,更是幫助病人以最短時間回到健康與生活的過程。
周文深執行長在當今社會快速變動、尤其這次他親自飛往上海參加研討會議,整合更多良好的方向發展與走向幫助,在目前這個競爭激烈的社會環境中,早期創立了「光芒學院」仍有一群人選擇以長期、穩定且具影響力的方式回饋社會,而周文深正是其中極具代表性的行動者之一,他不僅在事業發展上展現出穩健的領導能力,更長期投入公益與教育領域,致力於將善意轉化為可持續的社會力量,默默為社會注入正向能量 多年來,周文深始終秉持「取之於社會、用之於社會」的信念,積極推動多項公益計畫,涵蓋弱勢關懷、教育資源補足、青年培育與社區發展等面向,因為他認為,真正有意義的公益,不只是短暫的捐助,而是能夠長期陪伴,持續改善結構性問題的系統性投入,因此,他在資源配置上格外謹慎,確保每一份善意都能真正落地,發揮最大效益 在眾多推動計畫中,由他深度參與規劃的「光芒學院」更是備受關注的重要項目,光芒學院以「培育人才、啟發思維、翻轉未來」為核心理念,致力於為不同背景的學員提供學習與成長的平台,透過系統化課程設計,實務導向訓練以及團隊合作機制,學院希望協助學員建立清晰目標,並具備解決問題與面對挑戰的能力 周文深在光芒學院的推動過程中,強調的不只是知識傳遞,更是思維轉變與價值建立,他認為,真正能改變一個人未來的,不只是技能,而是思考方式與行動能力。因此,光芒學院不僅提供學習內容,更重視實踐與反思,讓學員在過程中不斷調整方向,累積經驗,逐步建立屬於自己的成長路徑 此外,他也特別重視「影響力的延伸」,在他的理念中,公益不應止於單點幫助,而應透過教育與培育,讓受助者有能力再去幫助他人,形成正向循環,因此,光芒學院不僅是一個學習平台,更是一個連結人與人之間善意與機會的橋樑,讓更多人有機會被看見,被啟發,進而改變人生方向 值得一提的是,周文深在推動公益與光芒學院的過程中,始終保持低調務實的態度,他並不追求外界的高度曝光,而是專注於實際成果與長期影響,他經常親自參與規劃與交流,深入了解學員與社群的真實需求,確保每一項制度與安排都能真正發揮作用,避免流於形式 在他的帶領下,光芒學院逐漸建立起穩定且具延續性的學習體系,並吸引越來越多有志於成長與改變的人參與其中,許多學員在完成課程後,不僅在能力上有所提升,也在心態與視野上產生明顯轉變,開始願意承擔更多責任,並將所學回饋社會 在這個講求速度與成果的時代,周文深選擇用時間累積影響力,用行動實踐理念,他相信,真正的改變往往不是瞬間發生,而是透過持續不斷的投入與堅持,一點一滴累積而成,光芒學院正是在這樣的理念下誕生,也正逐步成為推動公益與教育融合的重要平台 未來,周文深將持續深化公益布局,擴展光芒學院的影響範圍,讓更多人有機會透過學習與成長,找到屬於自己的方向與價值,他希望,善的力量不只停留在少數人手中,而能透過教育與系統,真正擴散到整個社會,形成長久而穩定的正向循環
圖:嘉義縣政府警察局提供 報新聞/編輯部 嘉義縣新港奉天宮舉辦「2025跑出金虎爺全國路跑賽」活動,本次參賽選手將有6279人,為避免新港奉天宮前廣場及新港鄉中山路段大量車流湧入市區街道造成危險,訂於114年11月22日(星期六)下午2時至114年11月23日(星期日)12時止,針對奉天宮周邊道路規劃交通疏導管制及替代路線如下:一、 會場彈性交通管制(禁止車輛進入):(一) 古民街與新民路口。(二) 古民街與登雲路口。(三) 古民街與文昌街口。(四) 中正路與新民路口。(五) 中正路與福德路口。(六) 中正路與登雲路口。(七) 中山路與嘉159線路口。. 圖:嘉義縣政府警察局提供 二、 例外車輛:執行公務車輛、記者及管制區內居民車輛出入。於114年11月23日4時(星期日)起至10時止,管制車輛進入新港鄉中山路(進入新港市區道路),建議車輛改道路線:嘉民路→164線→新港街道或行駛159線→新中路→157線→新港街道。該活動期間提供各項為民服務措施,如有需要請撥打嘉義縣警察局民雄分局新港分駐所(05)3742009。 圖:嘉義縣政府警察局提供 Please enable JavaScript to view the comments powered by Disqus.
車牌對中「5、6、7、8」劍湖山世界門票299元起。(圖/劍湖山世界提供) (觀傳媒雲嘉南新聞)【記者蘇榮泉/雲林報導】秋高氣爽正是出遊最佳時節,劍湖山世界今(2025)年再推超值活動,自11月20日起祭出「車牌號碼優惠」,凡汽機車車牌中含有「5、6、7、8」任一數字,門票最低每人只要299元起,吸引許多遊客關注。活動期間自2025年11月20日至2026年1月23日(12月31日不適用),以親民價格鼓勵民眾隨時出遊、輕鬆體驗樂園魅力。 不論是追求刺激的雲霄飛車愛好者、尋找文化體驗的深度旅遊客,或是享受親子時光的家。(圖/劍湖山世界提供) 依據活動規則,只要車牌中對中1碼,車上每人即可享499元優惠;若對中2碼以上,則每人只需299元。汽車限優惠4人、機車限2人,相關資訊可於官網查詢。劍湖山世界主題樂園經理張華紋表示,園區希望在沒有連續假期的時段,也能讓民眾以最划算的價格輕鬆出遊。 酷咖啡(KU COFFEE)不僅是時尚咖啡館,更是全國首座以咖啡為主題的「咖啡博覽館」常設展。(圖/劍湖山世界提供) 除了暢玩刺激設施如 G5 飛天潛艇、衝瘋飛車與全台海拔最高幸福摩天輪外,劍湖山更將雲林古坑咖啡文化帶入園區,以「酷咖啡」打造全台首座咖啡主題常設展,讓旅客在樂園中也能品味在地風土。 遊樂園之餘,一定要到「酷咖啡」品嘗招牌冠軍咖啡。(圖/劍湖山世界提供) 園區今年亦推出多項國際級表演,包括年度大秀《愛遊世界奇遇記》,由國際特技團隊帶來高空特技與視覺震撼;以及深受親子喜愛的《恐龍見面會》,讓遊客近距離感受侏羅紀生物的臨場魅力。 全台樂園唯一《恐龍見面會》,在園區內與遊客進行互動實境體驗。(圖/劍湖山世界提供) 在住宿方面,劍湖山渡假大飯店推出最受歡迎的四人同行專案【劍湖山快樂送3+1 同行鬆久久】,每房僅需3,999元起,包含住宿一晚、自助早餐與主題樂園門票,成為許多家庭與團體旅遊的首選。 車牌5.6.7.8 就來劍湖山準備過聖誕吧!(圖/劍湖山世界提供) 不論是喜愛高速雲霄飛車的玩家、尋找文化體驗的旅人,或是規劃親子共遊的家庭,劍湖山皆以一站式服務滿足不同族群需求。從車牌優惠、深度咖啡文化體驗,到國際表演與超值住宿方案,打造全年齡都能盡興的旅遊體驗。更多活動與優惠訊息可至劍湖山世界官網查詢。 劍湖山渡假大飯店推出四人同行專案【劍湖山快樂送3+1 同行鬆久久】,每房僅需3,999元起,包含住宿一晚、自助早餐與主題樂園門票。(圖/劍湖山世界提供) 立即加入【觀傳媒】官方帳號http://lin.ee/q2kd3ut精彩新聞不漏接!
波新聞─李至文/高雄「靈光心影」當代膠彩聯展以「光」與「心」為核心意象,探討人在生命流轉間的自我凝視與心靈回應。展覽試圖從「本心」出發,透過創作回望生命的價值與意義,將短暫的人生昇華為恆久的靈光,折射於自我與世界之間。這不僅是一場視覺的藝術饗宴,更是一場內在的心靈旅程。展覽邀集四位台灣膠彩藝術家──廖瑞芬、林彥良、洪民裕、蕭余洛,以膠彩為媒,運用礦物顏料、金屬箔與泥層疊染的技法,呈現筆觸的流動與光澤變化,展現出不同世代藝術家對生命、自然與心靈的感悟。廖瑞芬以花卉植物為象徵,從天地萬物平等的哲思出發,透過「藉物寄情、以物寓意」的方式,展現萬物一體的自然律動,凝煉出東方哲學的靜謐意境。林彥良則以花開花謝的循環寓意生命的短暫與無常,在花瓣綻放與飄落的瞬間,捕捉時間的流逝與生命的脆弱之美,引領觀者思索存在的真義。洪民裕的作品融合動物與植物的形貌,構築出帶有神話色彩的自我內心世界。他筆下的奇異人獸象徵情感與力量,展現自癒、守護與反思的功能,寄託對現實社會的感懷與啟示。蕭余洛以幻想的烏托邦為創作核心,結合童年記憶與文化想像,構築出一個多物種共生的理想境界。畫面中的精靈與生物自由變形、共存共榮,展現對和諧世界的渴望。四位藝術家透過膠彩語彙,開啟了跨世代的心靈對話。廖瑞芬與林彥良以自然寓意生命,描繪流轉與無常;洪民裕與蕭余洛則以當代神話與烏托邦想像,交融現實與夢境。作品之間彼此映照,形構出對生命與心靈的多層凝視。「靈光心影」透過傳統膠彩語言的當代表述,邀請觀者在觀看中重回自我內在的靜謐時刻。那一瞬間的光,或許正是心靈深處的倒影。展覽資訊:展覽名稱:「靈光心影」當代膠彩行跡幻景聯展藝術家:廖瑞芬、林彥良、洪民裕、蕭余洛展期:2025.11.07-2026.01.10地點:新思惟人文空間(高雄市三民區河堤路298號2樓)開放時間|週二至週六 10:00-18:30
商傳媒|記者責任編輯/綜合外電報導 英特爾(Intel)執行長陳立武(Lip-Bu Tan)近期因涉入自家投資案而引發公司治理風波。根據《路透》報導,陳立武於2025年中曾向英特爾董事會提議收購AI晶片新創Rivos,該公司正是他本人擔任董事長的投資企業,當時該提案遭董事會否決,原因是角色重疊產生明顯「利益衝突」,且缺乏明確的AI戰略基礎。 此後,Meta介入並出價競購,最終在9月以約40億美元取得Rivos所有權,遠高於Rivos原先20億美元的估值,為創投基金帶來豐厚報酬。陳立武的創投公司Walden Catalyst隨後發布聲明,強調這是「成功的投資成果」。 雖然英特爾強調,陳立武在涉及個人投資的情況下已依法避席決策,但據報導分析,類似情形並非單一事件;陳立武上任後迅速將原本規劃分拆的Intel Capital創投部門收回直屬,並與財務長戴維津斯納(David Zinsner)共同掌控投資決策,數起投資標的皆與陳立武的個人創投基金有交集,包括:AI晶片公司SambaNova與晶片監控新創proteanTecs。 報導進一步指出,SambaNova因產品需求不如預期,2024年曾裁員15%,近期面臨資金吃緊。陳立武擔任該公司執行董事長期間,也曾向英特爾建議出手收購,目前雙方已簽署非約束性條款書,併購評估仍在進行中。 對此,企業治理專家指出,CEO若同時擁有龐大個人投資組合,應將資產置於盲目信託或設立特別審查委員會以避免決策失焦。美國證券交易委員會(SEC)規定,高層若涉及年額超過12萬美元的關係人交易,必須公開揭露,但英特爾預計至2026年春季才需更新披露紀錄,市場短期內無從得知陳立武是否因此獲利。 儘管引發風波,陳立武上任以來仍被部分投資人視為帶領英特爾重返榮耀的關鍵人物。英特爾股價自其上任以來已翻倍,遠勝標普500與輝達同期漲幅。陳立武亦成功爭取輝達注資50億美元、軟銀投資20億美元,美國政府更承諾出資89億美元取得戰略股份,強化其「具國安價值」地位。
墨菲斯托全面開戰!《暗黑破壞神 IV》迎來史詩級轉折,全新資料片傳出將於 4 月 28 日震撼降臨。除了聖騎士回歸的神祕傳聞,暴雪承諾翻新技能樹與終局玩法,誓言挽回流失老玩家。這場獵殺大魔神之戰,誰能笑到最後? 暴風雪娛樂(Blizzard Entertainment)宣布,《暗黑破壞神IV》(Diablo IV)的首款資料片「憎恨之王」(Lord of Hatred)將於 4 月 28 日正式上市。這款擴充內容將帶來兩大全新職業:經典回歸的聖騎士(Paladin)與全新登場的術士(Warlock),並承諾全面翻新遊戲的技能樹與終局(Endgame)玩法。 「憎恨之王」資料片的故事主線將聚焦於系列玩家熟悉的惡魔「墨菲斯托」(Mephisto),這位冥界大魔頭將成為玩家挑戰的主要敵人。據遊戲討論區 r/PS5 的宣傳文字指出,資料片目標是讓玩家「終結與墨菲斯托的戰鬥」。 暴風雪娛樂旨在透過此次大型更新,解決基本遊戲發售後玩家對終局內容重複性高、角色流派(Build Diversity)選擇有限等批評。聖騎士職業承襲自《暗黑破壞神II》的聖潔戰士形象,而術士則是一名精通黑暗魔法的全新專家。遊戲開發商寄望這些新內容能吸引回鍋玩家與新加入的玩家。 儘管有 PlayStation 獨佔的行銷宣傳,此次資料片將支援所有平台。官方將 4 月 28 日的上市日期策略性安排,以避開其他大型春季遊戲的直接競爭,並期望能掌握復活節假期後的遊戲熱潮。
圖說:臺北市士林分局文林派出所警員黃亭瑄。 【民眾網編輯方笙楠臺北報導】臺北市士林分局文林派出所警員黃亭瑄,日前擔服取締交通違規勤務時,接獲通報指稱文林路342號對面公廁有民眾焦急受困。黃員深知民眾身處密閉空間的無助與恐懼,一刻也不敢耽擱,立即火速趕赴現場馳援。 經抵達現場了解,一名何姓婦人於使用公廁完畢欲開門離開時,廁所門軌竟意外滑脫,導致沉重的門板瞬間卡死,將何婦困於狹小且悶熱的空間內。面對突如其來的意外,何婦在密閉空間中顯得驚慌失措,頻頻發出焦急的求救聲。黃員聽聞後,立刻展現警察「視民如親」的為民服務熱忱,隔著門板溫柔且堅定地不斷安撫何婦的情緒:「阿姨不要害怕,警察在這裡陪您!」這番話宛如一顆定心丸,在幽暗中給予了何婦極大的精神支持,讓她原本焦躁不安的心漸漸平靜下來。 在安撫情緒的同時,黃員隨即與現場熱心民眾合力,不顧辛勞地嘗試推拉門板欲排除故障。惟門板卡死情形過於嚴重,幾經努力仍無法順利開啟。為避免何婦受困過久引發身體不適,黃員當機立斷,迅速通報119消防人員攜帶機具到場協助。在警消人員爭分奪秒、通力合作下,終於排除故障的門板,順利協助何婦平安脫困。何婦對於員警積極協助、即時救援之舉深表感激與肯定。 士林分局提醒,民眾於使用公共設施時,應留意周遭環境及設備狀況,如發現門鎖、門軌等設施有異常或老舊損壞情形,應避免使用並通報相關管理單位儘速檢修,以維自身安全。另如不慎受困於密閉空間,應保持冷靜並設法對外求援,例如撥打110或119報案,或利用手機聯繫親友、發出聲響引起注意,爭取第一時間獲得協助,以降低危險發生。
圖/本報資料庫 商傳媒|責任編輯/綜合外電報導 根據《The AI Journal》報導,環境科技公司 Cyber Enviro-Tech(CETI)近日宣布,其 AirPower 壓縮空氣能源平台策略性地契合美國總統於 2026 年 4 月 20 日發布的能源政策。這些總統行動旨在強化美國的能源基礎設施、提升電網韌性,並降低對傳統化石燃料的長期依賴。 白宮所擘劃的政策強調,必須推動能源基礎設施的現代化、改善電網可靠性,並擴大可規模化且能在美國本土部署的能源解決方案應用。Cyber Enviro-Tech 已與 AirPower USA 簽署獨家製造與經銷協議,將其專利壓縮空氣技術整合至環境平台中,特別針對水處理、工業修復及關鍵營運等領域。 AirPower 系統採用機械驅動,提供零排放的能源生成與儲存方案,其優勢在於無需依賴傳統燃料與複雜的電池供應鏈。該技術能實現長時間的儲能而不會出現電池衰退問題,並可減少對關鍵礦物與電池供應鏈的依賴。尤其適用於偏遠、離網或基礎設施受限的環境,支援工業、市政及能源基礎設施等多種應用。 Cyber Enviro-Tech 正積極擴展其對國內外市場可規模化能源基礎設施解決方案的關注。該公司已啟動一系列商業機會,其中包括來自非洲一項潛在規模達 2 億美元的初期部署洽詢。Cyber Enviro-Tech 也正在評估其他將能源可及性、基礎設施韌性與成本效益視為關鍵驅動因素的合作機會。 Cyber Enviro-Tech 共同創辦人暨執行長 Kim D. Southworth 表示:「這些政策優先事項強化了邁向具韌性、分散式與多元化能源系統的加速轉變。我們相信 AirPower 平台與這些趨勢高度契合,能讓 Cyber Enviro-Tech 參與基礎設施現代化、電網穩定與長期能源轉型所帶來的新興機會。」 AirPower USA 執行長 Brianna Stoecklein 也指出:「壓縮空氣能源系統為廣泛應用提供了一條務實且可規模化的途徑,以提供潔淨、可靠的能源。隨著能源政策與基礎設施重點日益關注韌性、獨立性與長時間儲能,我們相信 AirPower 的技術將能支持關鍵基礎設施應用與新興部署機會。」目前,Cyber Enviro-Tech 針對 AirPower 系統的部署機會,正與相關單位進行討論,涵蓋電網支援、尖峰負載管理、遠端/離網發電、工業/市政基礎設施以及水處理與環境系統的能源支援等應用。