
【焦點時報/記者林明佑報導】家住雲林的七旬老翁,八年前曾在國民健康署提供的大腸癌篩檢中出現糞便潛血反應,隨後接受大腸鏡檢查,當時雖發現息肉,但因檢查過程不適而中途放棄,留下陰影,並未及時處理。未料八年後,老翁出現腹脹、排便困難卻又頻頻有便意的狀況,一天幾乎有一半時間都待在馬桶上。他苦笑說:「還好家裡是坐式馬桶,不然我一定會倒下去。」

家人憂心之下陪同他至雲林基督教醫院就醫,這次醫師安排舒眠大腸鏡檢查,老翁「睡一覺醒來就做完了」,未再感到不適。然而檢查結果顯示大腸有異常病灶,經評估需手術治療。為讓父親手術過程減少疼痛、恢復更快,女兒選擇轉至彰基醫學中心接受治療,由大腸直腸外科張譽耀主任操刀,採用單孔達文西機械手臂SP系統手術。

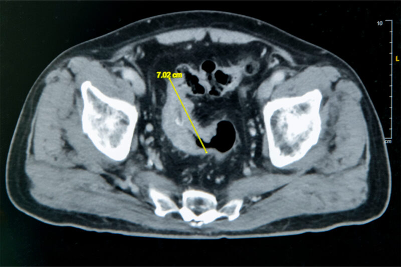
大腸直腸外科主任張譽耀醫師表示,老翁罹患乙狀結腸癌,腫瘤約7公分造成腸子幾乎完全阻塞,也導致老翁一進食就會肚子又脹又痛;術前因為不敢進食,老翁體重下降、營養不足,也可能造成傷口癒合不良。老翁的手術其實會有兩個傷口,一個是肚子上的傷口、一個腸子的傷口,若腸子傷口癒合不良會造成腸吻合滲漏,到時就必須做人工肛門了!所幸經過提早住院,透過靜脈營養針先建立營養,讓病人強健身體後才手術,術後傷口果然順利癒合。手術順利完成,老翁術後恢復良好,疼痛程度遠低於預期,他開心表示:「沒想到這麼快就能下床,真的很感謝醫師。」
彰基目前使用單孔達文西SP系統,是全台少數擁有此設備的醫院之一。系統啟用首日,彰基總院長陳穆寬教授親自完成兩例頭頸癌的達文西切除癌症手術,都是完全無疤痕手術,不但兼顧外觀與功能,也讓病人術後出血少、住院時間短。這套設備在狹小空間中操作特別有優勢,而因為是從自然孔進行手術,病人術後的臉部外觀完全看不到開刀痕跡。`
目前彰基同時配置達文西多孔系統與SP單孔系統,可依不同疾病特性選擇最合適的機器人手術方式。張譽耀主任說明,達文西手術具備高解析3D視野與靈活精密的機械手臂,可減少傷口與疼痛。多孔系統操作範圍廣,但腹壁仍需數個小切口;SP單孔系統則將傷口減少到只需一個,更適合年長或希望減少不適的患者。目前全台僅有不到十台SP系統,彰基同時具備兩套設備,能針對不同手術需求互補運用,為病人量身打造更精準、個人化的微創治療。
張譽耀主任提醒,大腸癌長期位居國人十大癌症發生率前幾名,但透過國健署提供的糞便潛血篩檢,可早期發現、早期治療,避免疾病惡化。彰基醫學中心每年收治相當多經外院檢出的大腸癌患者,約有三成個案是在院外篩檢後轉介來本院治療,其中以南投地區民眾居多,顯示跨區民眾對彰基手術品質與技術的信任。未來,醫院也將持續強化篩檢宣導與精準手術發展,期盼守護更多中部地區民眾的健康。=
圖:嘉義縣政府警察局提供 報新聞/編輯部 嘉義縣新港奉天宮舉辦「2025跑出金虎爺全國路跑賽」活動,本次參賽選手將有6279人,為避免新港奉天宮前廣場及新港鄉中山路段大量車流湧入市區街道造成危險,訂於114年11月22日(星期六)下午2時至114年11月23日(星期日)12時止,針對奉天宮周邊道路規劃交通疏導管制及替代路線如下:一、 會場彈性交通管制(禁止車輛進入):(一) 古民街與新民路口。(二) 古民街與登雲路口。(三) 古民街與文昌街口。(四) 中正路與新民路口。(五) 中正路與福德路口。(六) 中正路與登雲路口。(七) 中山路與嘉159線路口。. 圖:嘉義縣政府警察局提供 二、 例外車輛:執行公務車輛、記者及管制區內居民車輛出入。於114年11月23日4時(星期日)起至10時止,管制車輛進入新港鄉中山路(進入新港市區道路),建議車輛改道路線:嘉民路→164線→新港街道或行駛159線→新中路→157線→新港街道。該活動期間提供各項為民服務措施,如有需要請撥打嘉義縣警察局民雄分局新港分駐所(05)3742009。 圖:嘉義縣政府警察局提供 Please enable JavaScript to view the comments powered by Disqus.
車牌對中「5、6、7、8」劍湖山世界門票299元起。(圖/劍湖山世界提供) (觀傳媒雲嘉南新聞)【記者蘇榮泉/雲林報導】秋高氣爽正是出遊最佳時節,劍湖山世界今(2025)年再推超值活動,自11月20日起祭出「車牌號碼優惠」,凡汽機車車牌中含有「5、6、7、8」任一數字,門票最低每人只要299元起,吸引許多遊客關注。活動期間自2025年11月20日至2026年1月23日(12月31日不適用),以親民價格鼓勵民眾隨時出遊、輕鬆體驗樂園魅力。 不論是追求刺激的雲霄飛車愛好者、尋找文化體驗的深度旅遊客,或是享受親子時光的家。(圖/劍湖山世界提供) 依據活動規則,只要車牌中對中1碼,車上每人即可享499元優惠;若對中2碼以上,則每人只需299元。汽車限優惠4人、機車限2人,相關資訊可於官網查詢。劍湖山世界主題樂園經理張華紋表示,園區希望在沒有連續假期的時段,也能讓民眾以最划算的價格輕鬆出遊。 酷咖啡(KU COFFEE)不僅是時尚咖啡館,更是全國首座以咖啡為主題的「咖啡博覽館」常設展。(圖/劍湖山世界提供) 除了暢玩刺激設施如 G5 飛天潛艇、衝瘋飛車與全台海拔最高幸福摩天輪外,劍湖山更將雲林古坑咖啡文化帶入園區,以「酷咖啡」打造全台首座咖啡主題常設展,讓旅客在樂園中也能品味在地風土。 遊樂園之餘,一定要到「酷咖啡」品嘗招牌冠軍咖啡。(圖/劍湖山世界提供) 園區今年亦推出多項國際級表演,包括年度大秀《愛遊世界奇遇記》,由國際特技團隊帶來高空特技與視覺震撼;以及深受親子喜愛的《恐龍見面會》,讓遊客近距離感受侏羅紀生物的臨場魅力。 全台樂園唯一《恐龍見面會》,在園區內與遊客進行互動實境體驗。(圖/劍湖山世界提供) 在住宿方面,劍湖山渡假大飯店推出最受歡迎的四人同行專案【劍湖山快樂送3+1 同行鬆久久】,每房僅需3,999元起,包含住宿一晚、自助早餐與主題樂園門票,成為許多家庭與團體旅遊的首選。 車牌5.6.7.8 就來劍湖山準備過聖誕吧!(圖/劍湖山世界提供) 不論是喜愛高速雲霄飛車的玩家、尋找文化體驗的旅人,或是規劃親子共遊的家庭,劍湖山皆以一站式服務滿足不同族群需求。從車牌優惠、深度咖啡文化體驗,到國際表演與超值住宿方案,打造全年齡都能盡興的旅遊體驗。更多活動與優惠訊息可至劍湖山世界官網查詢。 劍湖山渡假大飯店推出四人同行專案【劍湖山快樂送3+1 同行鬆久久】,每房僅需3,999元起,包含住宿一晚、自助早餐與主題樂園門票。(圖/劍湖山世界提供) 立即加入【觀傳媒】官方帳號http://lin.ee/q2kd3ut精彩新聞不漏接!
波新聞─李至文/高雄「靈光心影」當代膠彩聯展以「光」與「心」為核心意象,探討人在生命流轉間的自我凝視與心靈回應。展覽試圖從「本心」出發,透過創作回望生命的價值與意義,將短暫的人生昇華為恆久的靈光,折射於自我與世界之間。這不僅是一場視覺的藝術饗宴,更是一場內在的心靈旅程。展覽邀集四位台灣膠彩藝術家──廖瑞芬、林彥良、洪民裕、蕭余洛,以膠彩為媒,運用礦物顏料、金屬箔與泥層疊染的技法,呈現筆觸的流動與光澤變化,展現出不同世代藝術家對生命、自然與心靈的感悟。廖瑞芬以花卉植物為象徵,從天地萬物平等的哲思出發,透過「藉物寄情、以物寓意」的方式,展現萬物一體的自然律動,凝煉出東方哲學的靜謐意境。林彥良則以花開花謝的循環寓意生命的短暫與無常,在花瓣綻放與飄落的瞬間,捕捉時間的流逝與生命的脆弱之美,引領觀者思索存在的真義。洪民裕的作品融合動物與植物的形貌,構築出帶有神話色彩的自我內心世界。他筆下的奇異人獸象徵情感與力量,展現自癒、守護與反思的功能,寄託對現實社會的感懷與啟示。蕭余洛以幻想的烏托邦為創作核心,結合童年記憶與文化想像,構築出一個多物種共生的理想境界。畫面中的精靈與生物自由變形、共存共榮,展現對和諧世界的渴望。四位藝術家透過膠彩語彙,開啟了跨世代的心靈對話。廖瑞芬與林彥良以自然寓意生命,描繪流轉與無常;洪民裕與蕭余洛則以當代神話與烏托邦想像,交融現實與夢境。作品之間彼此映照,形構出對生命與心靈的多層凝視。「靈光心影」透過傳統膠彩語言的當代表述,邀請觀者在觀看中重回自我內在的靜謐時刻。那一瞬間的光,或許正是心靈深處的倒影。展覽資訊:展覽名稱:「靈光心影」當代膠彩行跡幻景聯展藝術家:廖瑞芬、林彥良、洪民裕、蕭余洛展期:2025.11.07-2026.01.10地點:新思惟人文空間(高雄市三民區河堤路298號2樓)開放時間|週二至週六 10:00-18:30
墨新聞|記者鄭富鈺/綜合報導 臺北市長蔣萬安今(27)日赴市議會進行市政總質詢。議員在質詢時肯定蔣萬安施政,特別是《2025城市脈動:魅力城市》調查報告中,臺北首度奪得全球最想長居城市冠軍,連民進黨議員都肯定實屬難得! 議員詢問蔣萬安這幾年最亮眼的成績是哪一項?蔣萬安表示就是爭取輝達進駐臺北。他感謝議會不分黨派全力的支援,在過程當中雖然經過一些談判的波折,但是最終能夠順利圓滿,相信市民也都感到肯定。 至於議員提問市政有待改進的部分,蔣萬安則表示,都市更新的推動雖不是一蹴可及,但在他上任之後推出都更八箭政策,所有累積都更的報核案件數是過去八年的2.3倍,也是其他五都直轄市加總的1.4倍,而現在更進入了大都更時代。蔣萬安強調,今天不做,明天就會後悔,所以市政府會加速審議的程序,縮短相關的期程,讓更多的都市更新在台北市實現。 蔣萬安赴市議會進行市政總質詢。(北市府資料照) 議員關心雙城論壇的進度,蔣萬安表示,臺北上海雙城論壇行之多年,已經15年,而且是目前基本上是少數僅存兩岸官方交流的管道,希望能夠持續的舉辦下去。蔣萬安也強調,雙城論壇很明確就是定位在城市之間的交流,包括這一次簽的MOU就是談水治理、職能培訓等,這些都是無關乎任何政治敏感性的議題,所以市政府希望維持這樣的基調,秉持對等、專業、善意、互惠的原則,持續能夠維持兩岸之間的溝通交流。至於確切的時間與行政上的細節,都還在跟上海方確認,等到最後溝通確定拍板,一定會跟大家做一個說明。 議員關心輝達落腳臺北市T17、T18基地未來的用電問題。蔣萬安表示絕大部分的民眾當然希望能夠確保民生用電的充足,同時,為了產業的發展,希望能夠有穩定的供電,所以現階段最重要對台灣穩定供電有幫助的方案,當然都支持。 議員憂心行政院提出院版「財政收支劃分法」修正草案恐造成臺北市政府各局處的預算總計短少300億,這些排擠效應將嚴重影響社會福利與教育等推動。蔣萬安強調餅就這麼大,確實會造成各局處在推動施政上面的困擾,以及市政府在籌編預算上面的難處。蔣萬安表示,由於目前行政院的版本沒有具體的試算數字出來,也沒有任何討論的基礎,不知道是行政院算不出來?還是行政院有數字卻不願意公佈而蓋牌?蔣萬安強調不管是哪一種方式,都不是理性討論的方式。 蔣萬安也表示,光從行政院版本的法條內容來看,尚有很多的不確定性。所以希望行政院能提出具體的試算公式,各縣市政府再根據行政院的版本內容來研究會分配到多少的統籌分配稅款、一般性補助款以及計畫性補助款,這樣才能夠有後續討論的基礎。 蔣萬安再三呼籲,如果行政院希望能夠好好理性就行政院的版本來討論,就請行政院一定要提供數字跟各地方政府好好來溝通,尤其這也牽涉到後續事權的分配,也希望行政院跟立法院能夠好好的討論。此外,蔣萬安也呼籲市議會應該站在一致的立場,為了臺北市民的福祉,以及既有在推動的各項市政建設與服務能夠不受影響。 議員關心因場地租借的限制而影響演唱會經濟的推動。蔣萬安表示,確實在檔期審議以及安排上有過於僵化以及制式的問題,所以他已責成林奕華副市長邀集觀傳局、文化局、捷運公司等相關單位重新檢討相關規範,希望能夠更靈活、更有彈性,此外也包括場館周邊做整體文化的配合與宣傳,來創造雙贏的局面,能夠真正帶動演唱會的經濟。蔣萬安舉例,當獲知Super Junior要在大巨蛋舉辦演場會,觀傳局很快做了事前的各項規劃與溝通,包括在捷運站播放Super Junior的音樂以及在大巨蛋周邊有相關的燈飾的裝點等等。蔣萬安強調,未來希望能夠更早掌握一年的檔期,這樣就可以有充分的時間來做更完整的規劃與宣傳。 議員關心日本福島水產品進口查驗安全問題。蔣萬安表示,由於中央取消日本福島五縣市的產地標示,民眾看到的是日本進口的產品。衛生局仍會加強稽查及檢驗的頻率與機制,為市民的食安問題嚴格把關。 此篇文章最開始出處為: 臺北奪全球最想長居城市冠軍 蔣萬安:輝達進駐是最大成就
【News586/記者張淑慧報導】臺灣港務公司為強化高雄港港區業者交流、凝聚合作共識及研議港埠發展策略,高雄港務分公司於11月25日(星期二)舉辦「高雄港港區業者座談會」,由周永暉董事長親自主持,面對面傾聽高雄港區業者心聲與建議,持續以公司成立之初心「團隊合作、誠信經營、專業服務、創造顧客」,朝向「強港航、興觀光、智管理、達永續」四大目標落實精進。 圖/周永暉董事長致詞 本次座談會由周董事長率港務公司王錦榮總經理、高雄分公司王派峰總經理以及相關經營團隊主管出席,邀集高雄港區相關產業之公協會、航商及能源等業者共同與會交流。高雄港務分公司於會中簡報高雄港未來將啟動之相關工程建設、重大招商及開發案件與能源相關發展計畫。 港務公司期能藉此座談會,掌握客戶期待、致力回應業者需求,廣納政策調整及服務優化之意見參考,用心建立環境、社會及利害關係人共榮發展的高雄港永續生態圈。 Continue Reading
波新聞-辜士陞/嘉義 「2026台灣燈會」將於明(115)年3月3日至3月15日在嘉義縣盛大登場,昨(6)日交通部觀光署長陳玉秀與縣長翁章梁率領團隊,在主燈預定地舉辦動土儀式,同時也象徵燈會籌備正式啟動。現場委請宗教民俗專家進行祈福儀式,再由長官貴賓共同持鏟動土,祈求燈會工程順利推動、活動圓滿成功。 此次燈會分為中央主燈區與地方燈區,展場總面積達30公頃,除了燈藝展示外,更邀請來自法國、波蘭等國家的表演團體,以及國內外藝術家,為觀眾帶來精彩絕倫的表演節目和光影饗宴。 署長陳玉秀表示,嘉義縣知名的阿里山以其獨特的自然景觀和文化背景,成為與世界對話的重要象徵,正好呼應此次燈會「點亮嘉義,光躍台灣」的主題。她提到,主燈將以「阿里山神木」意象呈現,並以「光沐-世界的阿里山」為名創作,展現嘉義獨特魅力 署長陳玉秀指出,台灣燈藝創作實力深厚,科技展演亦備受國際肯定,此次燈會期盼在傳統與創新之間找到最大的創意,並藉由台灣燈會打造讓傳統燈藝師與年輕藝術家盡情發揮的舞台。 縣長翁章梁表示,隨著台灣燈會主燈正式動土,象徵本屆台灣燈會全面啟動,各項籌備工作已進入關鍵階段。台灣燈會為全國年度最大盛事,參與人次動輒逾千萬,備受國內外矚目。為迎接盛會到來,嘉義縣已全面動員各局處投入規劃,地方燈區亦同步加緊準備,並將陸續召開記者會公布活動內容。翁縣長期盼,本屆燈會能為台灣與國際呈現一個嶄新的嘉義樣貌,並祝福活動順利、圓滿成功。 嘉義縣文化觀光局表示,這是嘉義縣第3次承辦台灣燈會,為了讓遊客感受不同於前幾次的賞燈體驗,創造更多美好的出遊回憶,將打造多元主題燈區、安排多場國內外精彩藝文展演活動、廣羅上百攤美食市集,更規劃不同遊程結合嘉義縣內知名旅遊景點,期望吸引海內外遊客超過1000萬人次,讓遊客不只來「嘉」,更可以留「嘉」,體驗嘉義縣不同的豐富面貌。 2026台灣燈會將於3月3日正式開燈,燈會展區臨近高鐵嘉義站,更規劃接駁車動線可直達燈會展區,鼓勵遊客多多利用大眾運輸工具,輕鬆賞燈避免塞車,一同來欣賞匯聚藝術及創新科技的精采盛宴! 圖:2026台灣燈會主燈動土
【台灣電報記者廖宥婷/台中報導】 第14屆「臺中文學獎」頒獎典禮今(6)日於臺中市政府盛大舉行,今年投稿作品高達 2,452 件,再創歷年新高,來自 香港、馬來西亞、上海、美國、英國、韓國、日本、法國、澳洲、新加坡 等地的國際創作者就佔了 428 件,呈現臺中文學的多語、多元與跨國創作能量。 頒獎典禮溫馨一幕 本屆文學獎涵蓋小說、散文、新詩、古典詩、臺語詩、客語詩、童話、報導文學與國高中職散文等九大組別,題材從家鄉書寫、成長經驗到社會觀察,內容深度與語言成熟度皆受到評審肯定。 立法院副院長江啟臣蒞臨頒獎典禮 典禮首度邀請作家 陳栢青、吳曉樂 擔任雙主持人,以幽默節奏與創作對談串起活動,並將九大文類比喻為「慢燉湯頭、清蒸佳餚、涼拌小菜」,象徵臺中文學的細膩與多樣。現場設置的似顏繪打卡牆也成焦點,許多得獎者提筆簽名留念,氣氛溫馨。 第十四屆臺中文學獎首得獎者合照 臺中市副市長 鄭照新 表示,臺中從日治時期的櫟社到當代作家群聚,一直具有深厚文學底蘊。今年主題「文火慢燉.細寫人生」象徵在 AI 時代中,文學仍是城市情感的連結,使故事得以傳承。 臺中文學獎首次由作家擔任頒獎典禮主持人 立法院副院長 江啟臣 則說,文學不需喧嘩也能改變世界,只要有人書寫、就會有人閱讀;在快速變動的時代裡,文字更能呈現創作者獨有的生活觀察與不可取代的價值。 第十四屆臺中文學獎頒獎典禮大合照 評審團指出,本屆青年創作者表現亮眼,展現敏銳視角與語言掌握度;小說、散文與報導文學的敘事成熟,詩組語言風格多元,童話則兼具想像與寓意,使臺中文學獎成為新世代發聲的重要舞台。 臺中市副市長鄭照新逐一頒發首獎得獎者 今日典禮由鄭照新副市長、文化局副局長曾能汀、客委會主委江俊龍及多位評審與貴賓共同頒獎。今年得獎作品集同步上線,市民可至臺中市文化局官網下載,或至市立圖書館借閱,感受臺中文學的蓬勃生命力。
桃園市衛生局於12月6日至7日在桃園藝文廣場辦理「114年桃食安心舞動健康嘉年華」。圖:衛生局提供 桃園市衛生局於12月6日至7日在桃園藝文廣場辦理「114年桃食安心舞動健康嘉年華」,活動首日即吸引眾多市民到場。活動不僅結合食安教育、親子互動與健康闖關,其中D區疫苗接種站更推出分齡好禮,只要50歲以上民眾或學齡前幼兒攜帶健保卡(幼兒另需兒童手冊)於現場完成接種,即可獲得多項禮品與免費遊樂體驗,希望在冬季流感高峰前協助市民提升保護力。 活動首日即吸引眾多市民到場。圖:衛生局提供 衛生局表示,凡於現場接種新冠或流感疫苗者,皆可獲得衛生紙、美食券、麥片等物資;65歲以上長者可再加贈暖心毛毯;學齡前幼兒則可領取乖乖、米蠟筆等小禮。接種民眾還能免費體驗旋轉木馬、快照與抓娃娃機,且抓娃娃機採「保證有獎」方式,未夾中也可領取一份獎品,夾中則加倍贈送。完成接種後於「健康守護所」拍照打卡,也能再領取抓娃娃券,讓民眾在提升健康保護的同時,同步感受嘉年華的趣味氛圍。 活動首日即吸引眾多市民到場。圖:衛生局提供 活動兩日皆安排摸彩,成人組可抽咖啡機、血壓計等家用物品;幼兒組則提供卡通玩偶和彩色筆盒等獎品。衛生局提醒,禮品數量有限,兩天皆可參加,歡迎市民攜帶健保卡前往接種,把健康與好禮一次帶回家。 衛生局也指出,今年9月桃園率先全國推動餐飲店家「食安評價星級評等制度」,以1至5顆星呈現店家食安透明度,評分內容涵蓋六大項目,包括食品良好衛生規範準則、食材溯源、正確食品標示、食品抽驗合規性、登錄與申報資料正確性及業者自主管理落實情形等。所有指標皆達標者才能獲得最高5星。截至11月,已有16家校園午餐團膳工廠與12家大型筵席餐廳獲得5星,另有24家4.5星與33家4星業者。衛生局強調,桃園以透明化數據推動食安治理,未來將持續擴大評等對象,讓更多食品業者納入管理。 活動首日即吸引眾多市民到場。圖:衛生局提供 衛生局表示,將持續以創新與跨領域方式推動食品安全與健康教育,讓市民在嘉年華中輕鬆獲取食安知識,落實「舞出健康、吃得安心」理念。歡迎民眾在這個週末攜家帶眷前往藝文廣場,一同參與冬季限定的健康盛會。更多活動資訊可至「桃食安心資訊平台」查詢。(廣告) 📚 你可能會感興趣的文章